redhead family dental | oral surgery










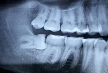
Should you get that retained wisdom tooth out? Scared about costs and procedure?

Relax - at Redhead Family Dental we can solve your problem!

Dr Andreas Schwander has a special interest in wisdom tooth and other oral surgery. He looks back at over 20 years of experience in this field with even the most difficult retained teeth.

Book an appointment to discuss your options.

We cannot provide treatment under general anaethesia but are happy to organise it for you if required. Please remember that any surgical or invasive procedure carries risks. Before proceeding, you may wish to seek a second opinion from an appropriately qualified dental surgeon.